北京空军航空医学研究所附属医院口腔科在牙齿修复方面具有较高水平,拥有一支经验丰富的专业医疗团队。该科室运用先进的修复技术,如全瓷冠、瓷贴面、牙齿矫正等。全瓷冠修复技术是口腔科常用的美容修复方法之一,通过覆盖整个牙冠的陶瓷材料,改良牙齿外观和功能。全瓷冠具有良好的生物相容性,色泽接近天然牙,适用于牙齿缺损、变色、形状不佳等情况。
瓷贴面是一种通过粘结技术将瓷片贴附在牙齿表面的修复方法,可以有效遮盖牙齿表面的色斑、缺损,改良牙齿外观。瓷贴面适用于轻度牙齿变色、牙齿缺损等情况。
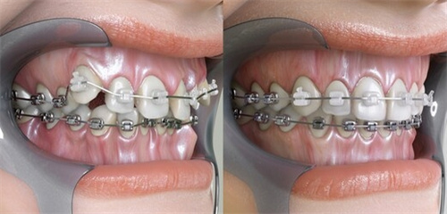
此外,科室还提供牙齿矫正服务,运用生物力学原理,对牙齿进行逐步调整,达到改良牙齿排列、咀嚼功能和美观度的目的。牙齿矫正适用于牙齿拥挤、龅牙、地包天等牙列畸形情况。
对比医院、医生,看案例,比价格,点击页面[在线咨询] 免费咨询






